
Marzo es el mes de la endometriosis ¿Qué es? ¿Cómo se detecta?
Marzo es el mes de la endometriosis, por ello queremos dedicar este post a todas aquellas mujeres que padecen esta enfermedad.
La endometriosis es una trastorno desconocido para la mayoría de las mujeres. Según el Ministerio de Sanidad una de cada diez mujeres se ven afectadas por endometriosis.
Se trata de una patología ginecológica crónica benigna (no cancerígena) de origen desconocido que se caracteriza como la presencia de endometrio fuera de la cavidad endometrial. Es decir, el tipo de tejido que normalmente crece dentro del útero en la endometriosis crece fuera del útero. Puede aparecer en los ovarios, las trompas de Falopio, los intestinos o la vejiga. En raras ocasiones crece en otras partes del cuerpo.
Los síntomas más comunes de la endometriosis son:
- Cólicos menstruales dolorosos, incluso debilitantes, que podrían empeorar con el tiempo
- Dolor durante o después del sexo
- Dolor en el intestino o la parte baja del abdomen, incluso en la parte lumbar.
- Evacuaciones intestinales dolorosas o dolor al orinar durante los períodos menstruales
- Períodos menstruales abundantes
- Pequeñas pérdidas de sangre antes de menstruar o sangrado entre los períodos.
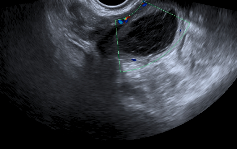
La principal consecuencia a corto plazo para la mujer cuando desarrolla una endometriosis es la aparición de un fuerte dolor abdominal. Lo primero que hay que hacer, en caso de notar este síntoma, es consultar al especialista. Una simple ecografía puede servir para detectarla y dar detalles a tu médico sobre el tipo de dolor que sientes, cuándo aparece, si hace muchos años que lo sufres, etc. Se trata, en definitiva, de una información muy valiosa que puede acelerar el diagnóstico y, por tanto, la curación.
Leave a reply

Tenéis información muy precisa y muy buena. Muchas gracias por exponerla y compartirla. Andaba buscando y lo e encontrado. Att.
Replyhttps://oficinadecorreos.info/